三头六臂降世破魔,火尖枪舞闹海除妖
电影中当哪吒摆着有型pose一本正经地介绍“我乃哪吒三太子”或是搞怪耍宝降妖除魔时让人很难不注意到他那一口“破破烂烂”的牙齿。
	
虽然是人设或夸张的艺术效果,但也不禁让我们联想到现实生活中儿童口腔常见问题
今天我们就来聊聊哪吒的牙齿问题以及家长该如何应对——鲨鱼牙 地包天!!!
1、鲨鱼牙
	
	
哪吒的牙齿稀疏且参差不齐,类似“鲨鱼齿”。这种牙齿形态异常可能是由于乳牙畸形导致的。乳牙畸形的形成既受遗传因素(基因突变可能会引发少汗性外胚层发育不良(hed)。通常会导致外胚层组织发育异常,造成牙齿缺失或畸形,而现有的牙齿通常较小且呈尖锐状。)的影响,也与环境因素(长期的维生素d缺乏,可能会造成牙齿发育过程中牙釉质、牙本质形成不全)密切相关。
乳牙畸形可能导致孩子乳牙龋坏、发音不准,甚至影响心理健康。此外,不良习惯如伸舌、吮指、咬唇等也可能导致牙齿间隙异常。
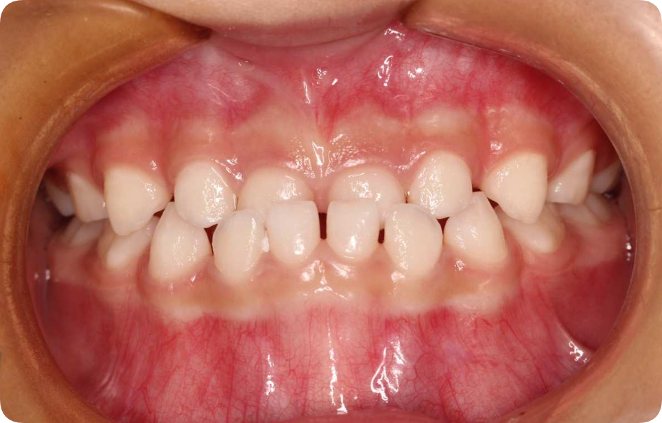
2、地包天
	
	
哪吒的牙齿还有一个显著问题是“地包天”。当闭上嘴巴时,上下牙齿无法正确咬合,这在医学上被称为“错颌畸形”。
其中,以哪吒为代表的iii类错颌畸形患者的下牙明显突出于上牙,下颌发育过度,也就是我们俗称的“地包天”。
哪吒双手插兜吊儿郎当,不时有前伸下颌的俏皮动作,下颌前伸这种习惯非常有可能导致“地包天”牙齿畸形。有研究者认为正确的牙齿咬合对身体姿势有积极影响,而头部和颈椎姿势又反过来影响了牙齿的咬合。哪吒经常性的弯腰驼背,其实是处于上颈椎过度伸展和下颈椎过度屈曲的状态中,久而久之,就会导致头部前倾。此时,身体补偿的一部分就体现在他的牙齿上。
	
儿童口腔健康的重要性
儿童的口腔健康不仅影响咀嚼和发音,还可能影响面部发育和自信心。家长应重视孩子的口腔健康,定期带孩子进行口腔检查,及时发现并解决口腔问题。
	
如何应对这些口腔问题呢?
1、应对“鲨鱼牙”
如果孩子的牙齿出现类似“鲨鱼齿”的情况,家长无需过度干预,但如果到了七八岁后,中切牙牙缝仍未闭合,就需要立即带孩子到医院就诊,评估是否需要进行早期矫治。
如果孩子的牙齿特别尖,总是划到舌头或者脸颊部的黏膜,需要到医院进行适当的调和。
2、应对“地包天”
如果孩子出现“地包天”,应尽早到口腔科就诊。一般情况下,5-12岁是早期干预的黄金时期。
一般来说,发现“地包天”,越早干预矫正,难度越低,效果越好。
温馨提示:躺着喂奶、咬上唇或下颌前伸、吮指头等不良口腔习惯可导致孩子牙颌面发育异常,家长应在医生指导下及时纠正。
虽然是人设或夸张的艺术效果,但也不禁让我们联想到现实生活中儿童口腔常见问题
今天我们就来聊聊哪吒的牙齿问题以及家长该如何应对——鲨鱼牙 地包天!!!
三头六臂降世破魔,火尖枪舞闹海除妖
电影中当哪吒摆着有型pose一本正经地介绍“我乃哪吒三太子”或是搞怪耍宝降妖除魔时让人很难不注意到他那一口“破破烂烂”的牙齿。
	
虽然是人设或夸张的艺术效果,但也不禁让我们联想到现实生活中儿童口腔常见问题
今天我们就来聊聊哪吒的牙齿问题以及家长该如何应对——鲨鱼牙 地包天!!!
1、鲨鱼牙
	
	
哪吒的牙齿稀疏且参差不齐,类似“鲨鱼齿”。这种牙齿形态异常可能是由于乳牙畸形导致的。乳牙畸形的形成既受遗传因素(基因突变可能会引发少汗性外胚层发育不良(hed)。通常会导致外胚层组织发育异常,造成牙齿缺失或畸形,而现有的牙齿通常较小且呈尖锐状。)的影响,也与环境因素(长期的维生素d缺乏,可能会造成牙齿发育过程中牙釉质、牙本质形成不全)密切相关。
乳牙畸形可能导致孩子乳牙龋坏、发音不准,甚至影响心理健康。此外,不良习惯如伸舌、吮指、咬唇等也可能导致牙齿间隙异常。
2、地包天
	
	
哪吒的牙齿还有一个显著问题是“地包天”。当闭上嘴巴时,上下牙齿无法正确咬合,这在医学上被称为“错颌畸形”。
其中,以哪吒为代表的iii类错颌畸形患者的下牙明显突出于上牙,下颌发育过度,也就是我们俗称的“地包天”。
哪吒双手插兜吊儿郎当,不时有前伸下颌的俏皮动作,下颌前伸这种习惯非常有可能导致“地包天”牙齿畸形。有研究者认为正确的牙齿咬合对身体姿势有积极影响,而头部和颈椎姿势又反过来影响了牙齿的咬合。哪吒经常性的弯腰驼背,其实是处于上颈椎过度伸展和下颈椎过度屈曲的状态中,久而久之,就会导致头部前倾。此时,身体补偿的一部分就体现在他的牙齿上。
	
儿童口腔健康的重要性
儿童的口腔健康不仅影响咀嚼和发音,还可能影响面部发育和自信心。家长应重视孩子的口腔健康,定期带孩子进行口腔检查,及时发现并解决口腔问题。
	
如何应对这些口腔问题呢?
1、应对“鲨鱼牙”
如果孩子的牙齿出现类似“鲨鱼齿”的情况,家长无需过度干预,但如果到了七八岁后,中切牙牙缝仍未闭合,就需要立即带孩子到医院就诊,评估是否需要进行早期矫治。
如果孩子的牙齿特别尖,总是划到舌头或者脸颊部的黏膜,需要到医院进行适当的调和。
2、应对“地包天”
如果孩子出现“地包天”,应尽早到口腔科就诊。一般情况下,5-12岁是早期干预的黄金时期。
一般来说,发现“地包天”,越早干预矫正,难度越低,效果越好。
温馨提示:躺着喂奶、咬上唇或下颌前伸、吮指头等不良口腔习惯可导致孩子牙颌面发育异常,家长应在医生指导下及时纠正。
虽然是人设或夸张的艺术效果,但也不禁让我们联想到现实生活中儿童口腔常见问题
今天我们就来聊聊哪吒的牙齿问题以及家长该如何应对——鲨鱼牙 地包天!!!
@2018凯发游戏的版权:凯发游戏的版权归属安琪儿医疗控股集团所有all rights reserved