病理性卵巢囊肿常伴有腹痛,如不及时治疗将造成严重的后果,但传统开腹囊肿切除术创伤较大,伤口愈合时间较长。分享两例安琪儿医疗控股集团旗下成都安琪儿妇产医院(蜀汉院区)特邀妇科专家-龚晓明教授案例,通过卵巢囊肿穿刺的方法,不开刀穿刺诊断及治疗卵巢囊肿。


真实案例分享
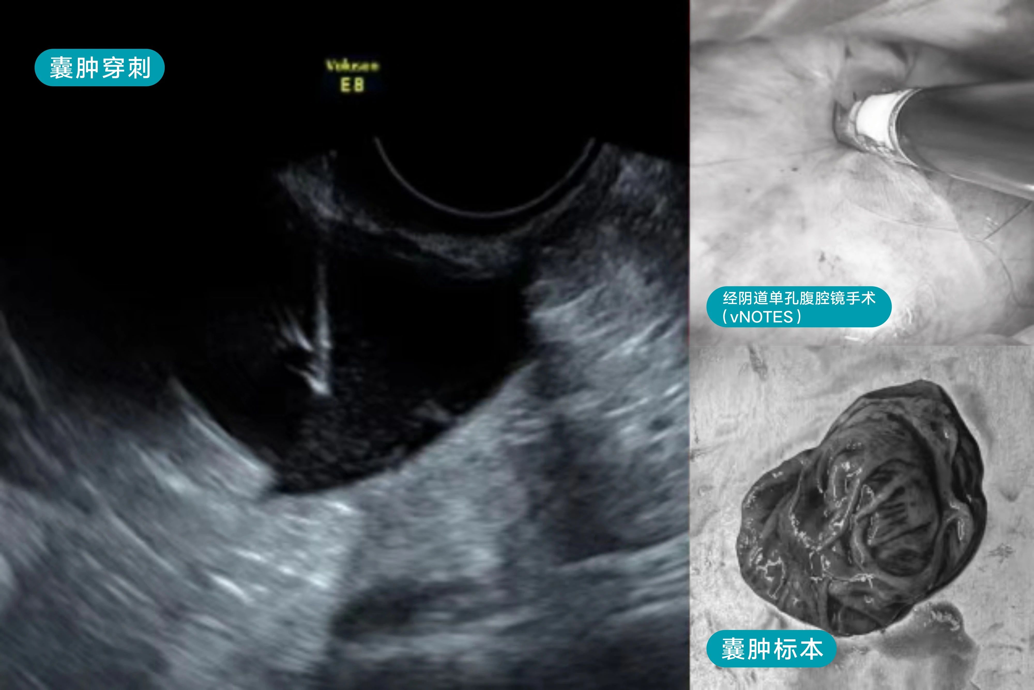
01 案例一
患者45岁,囊肿7cm,发现1年了,肿瘤标记物正常。
超声无法鉴别囊肿性质,无法确定是单纯囊肿、巧克力样囊肿还是卵巢肿瘤,术前龚晓明教授提前与客户沟通情况,并告知患者如果是粘液性囊肿(因粘液性囊腺瘤术后复发高),就需要行腹腔镜手术。考虑患者手术“无疤”需求,术中发现囊内液为粘液性后,立即中转经阴道单孔腔镜行患侧附件切除术及对侧输卵管切除术,满足了患者希望手术不留疤痕的要求,极大降低了患者罹患卵巢癌几率。
手术过程很顺利,患者术后当天下床自由活动。患者及家属既惊叹又感激,感谢龚晓明教授在治愈疾病的同时兼顾了患者爱美心理需求,真正做到了术后“无痕”!
高效(不用择期手术),简单、创伤小,这就是妇科医生实施穿刺固化治疗的优势所在!妇科微创医生做卵巢囊肿穿刺技术的优势在于,哪怕是遇到需要改腹腔镜的情况,医生也能解决,让患者就医体验更好!

02 案例二
患者27岁,囊肿5cm,发现有5年了,考虑卵巢巧克力囊肿可能性大,外院给予口服地诺孕素治疗。
术前考虑巧克力样囊肿可能性大,但不排除单纯性卵巢囊肿。龚晓明教授团队给这位女士采取了日间手术,穿刺液是清亮液体,行卵巢囊肿无水酒精固化治疗,囊内液送病检查找瘤细胞。
该方法创伤小,疗效好,体表不留疤痕,及早发现及早对症治疗,深受患者好评。该患者表示,如果之前就遇到龚晓明教授团队,及早做卵巢囊肿穿刺、及时诊断疾病,就避免了长期口服地诺孕素等药物了。

卵巢囊肿穿刺硬化治疗
卵巢囊肿是一种常见的妇科病,分为生理性囊肿和病理性囊肿,生理性囊肿不需要治疗,病理性的囊肿一般情况下需要腹腔镜手术治疗,但通过卵巢囊肿抽吸 硬化治疗的方式,可以不开刀穿刺治疗卵巢囊肿,创伤小,预后好,且穿刺后能阻止囊肿内皮细胞的分泌功能,促进囊腔闭合,降低复发率,目前已成为治疗卵巢囊肿的首选方法。

优点:
是目前创伤最小的治疗方式,几乎没有伤疤和出血,术后不影响正常的工作和生活,一般无需住院,日间手术即可完成(麻醉恢复以后即可出院)。
如何知道自己是否适合?
卵巢囊肿直径达到或超过3cm者均可进行穿刺硬化治疗,对于单纯性囊肿、巧克力样囊肿、浆液性囊肿、卵巢冠囊肿均是适合,但是对于粘液性囊肿、交界性肿瘤或者恶性肿瘤导致的囊肿不适合。
为确定卵巢囊肿是否适合穿刺,请及时到院,院区妇科专家龚晓明教授及团队将为您进行专业的评估治疗!
病理性卵巢囊肿常伴有腹痛,如不及时治疗将造成严重的后果,但传统开腹囊肿切除术创伤较大,伤口愈合时间较长。分享两例安琪儿医疗控股集团旗下成都安琪儿妇产医院(蜀汉院区)特邀妇科专家-龚晓明教授案例,通过卵巢囊肿穿刺的方法,不开刀穿刺诊断及治疗卵巢囊肿。


真实案例分享
01 案例一
患者45岁,囊肿7cm,发现1年了,肿瘤标记物正常。
超声无法鉴别囊肿性质,无法确定是单纯囊肿、巧克力样囊肿还是卵巢肿瘤,术前龚晓明教授提前与客户沟通情况,并告知患者如果是粘液性囊肿(因粘液性囊腺瘤术后复发高),就需要行腹腔镜手术。考虑患者手术“无疤”需求,术中发现囊内液为粘液性后,立即中转经阴道单孔腔镜行患侧附件切除术及对侧输卵管切除术,满足了患者希望手术不留疤痕的要求,极大降低了患者罹患卵巢癌几率。
手术过程很顺利,患者术后当天下床自由活动。患者及家属既惊叹又感激,感谢龚晓明教授在治愈疾病的同时兼顾了患者爱美心理需求,真正做到了术后“无痕”!
高效(不用择期手术),简单、创伤小,这就是妇科医生实施穿刺固化治疗的优势所在!妇科微创医生做卵巢囊肿穿刺技术的优势在于,哪怕是遇到需要改腹腔镜的情况,医生也能解决,让患者就医体验更好!

02 案例二
患者27岁,囊肿5cm,发现有5年了,考虑卵巢巧克力囊肿可能性大,外院给予口服地诺孕素治疗。
术前考虑巧克力样囊肿可能性大,但不排除单纯性卵巢囊肿。龚晓明教授团队给这位女士采取了日间手术,穿刺液是清亮液体,行卵巢囊肿无水酒精固化治疗,囊内液送病检查找瘤细胞。
该方法创伤小,疗效好,体表不留疤痕,及早发现及早对症治疗,深受患者好评。该患者表示,如果之前就遇到龚晓明教授团队,及早做卵巢囊肿穿刺、及时诊断疾病,就避免了长期口服地诺孕素等药物了。

卵巢囊肿穿刺硬化治疗
卵巢囊肿是一种常见的妇科病,分为生理性囊肿和病理性囊肿,生理性囊肿不需要治疗,病理性的囊肿一般情况下需要腹腔镜手术治疗,但通过卵巢囊肿抽吸 硬化治疗的方式,可以不开刀穿刺治疗卵巢囊肿,创伤小,预后好,且穿刺后能阻止囊肿内皮细胞的分泌功能,促进囊腔闭合,降低复发率,目前已成为治疗卵巢囊肿的首选方法。

优点:
是目前创伤最小的治疗方式,几乎没有伤疤和出血,术后不影响正常的工作和生活,一般无需住院,日间手术即可完成(麻醉恢复以后即可出院)。
如何知道自己是否适合?
卵巢囊肿直径达到或超过3cm者均可进行穿刺硬化治疗,对于单纯性囊肿、巧克力样囊肿、浆液性囊肿、卵巢冠囊肿均是适合,但是对于粘液性囊肿、交界性肿瘤或者恶性肿瘤导致的囊肿不适合。
为确定卵巢囊肿是否适合穿刺,请及时到院,院区妇科专家龚晓明教授及团队将为您进行专业的评估治疗!
@2018凯发游戏的版权:凯发游戏的版权归属安琪儿医疗控股集团所有all rights reserved